Toxoplasmosis (canine)
| dc.contributor.author | Unknown | |
| dc.contributor.email | leon.prozesky@up.ac.za | en |
| dc.contributor.other | University of Pretoria. Faculty of Veterinary Science. Dept. of Paraclinical Sciences. Section of Pathology | |
| dc.coverage.spatial | Africa | en |
| dc.coverage.spatial | South Africa | en |
| dc.date.accessioned | 2010-02-25T11:09:44Z | |
| dc.date.available | 2010-02-25T11:09:44Z | |
| dc.date.issued | 2010-02-25T11:09:44Z | |
| dc.description | RGB true colour photo. Original scanned size: JPEG, 200-300 dpi. Final web-ready size: 150 ppi. Original TIFF file housed at the Dept. Pathology, University of Pretoria. | en |
| dc.description | Photo 1: Original document size: (w)8.13 x(h)6.1 cm., 161 kb, 200 ppi. Final web-ready size: 52.00 kb. Estimated download time: 19 sec. @ 28.8 kbps. | en |
| dc.description | Photo 2: Original document size: (w)8.13 x(h)6.1 cm., 177 kb, 200 ppi. Final web-ready size: 57.12 kb. Estimated download time: 21 sec. @ 28.8 kbps. | en |
| dc.description | Photo 3: Original document size: (w)8.13 x(h)6.1 cm., 168 kb, 200 ppi. Final web-ready size: 49.79 kb. Estimated download time: 19 sec. @ 28.8 kbps. | en |
| dc.description | Light micrograph | en |
| dc.description | Metadata assigned by Prof JA Lawrence, Emeritus: Dept. of Paraclinical Sciences, Section of Pathology. | en |
| dc.description.abstract | Images of post-mortem cases captured during 1977 - 1982. Departmental references to images uploaded with photo titles indicated the macroscopic lesion (PM) or microscopic slide (S), case number and year. | en |
| dc.format.medium | Colour photo | en |
| dc.identifier.uri | http://hdl.handle.net/ | |
| dc.identifier.uri | http://hdl.handle.net/2263/13227 | |
| dc.rights | ©University of Pretoria. Dept. of Paraclinical Sciences, Section of Pathology (Original and digital). Provided for educational purposes only. | en |
| dc.source | Original format: University of Pretoria, Faculty of Veterinary Science. | en |
| dc.subject | Dogs | en |
| dc.subject | Heart | en |
| dc.subject | Liver | en |
| dc.subject | Calcification | en |
| dc.subject | Toxoplasma gondii | en |
| dc.subject.lcsh | Veterinary pathology -- South Africa | en |
| dc.title | Toxoplasmosis (canine) | en |
| dc.type | Still Image | en |
Files
Original bundle
1 - 3 of 3
Loading...
- Name:
- 00691.jpg
- Size:
- 52.02 KB
- Format:
- Joint Photographic Experts Group/JPEG File Interchange Format (JFIF)
- Description:
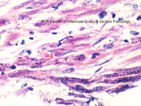
- Photo 1: Myocardial infarction. Calcification of myocytes in myocardium (S792/82)
Loading...
- Name:
- 00692.jpg
- Size:
- 57.13 KB
- Format:
- Joint Photographic Experts Group/JPEG File Interchange Format (JFIF)
- Description:
- Photo 2: Toxoplasma in heart. Toxoplasma gondii cyst, necrosis and leucocyte infiltration in myocardium (S792/82)
Loading...
- Name:
- 06807.jpg
- Size:
- 49.8 KB
- Format:
- Joint Photographic Experts Group/JPEG File Interchange Format (JFIF)
- Description:
- Photo 3: Toxoplasma in liver. Toxoplasma gondii tachyzooites in hepatocytes (S272/77)
License bundle
1 - 1 of 1
Loading...
- Name:
- license.txt
- Size:
- 2.44 KB
- Format:
- Item-specific license agreed upon to submission
- Description:
