Toxoplasmosis (canine)
Loading...
Authors
Unknown
Journal Title
Journal ISSN
Volume Title
Publisher
Abstract
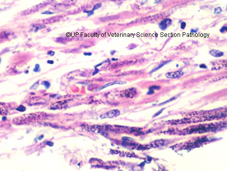
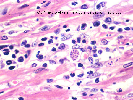
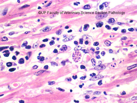
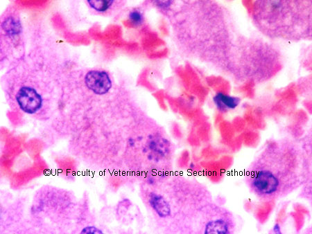
Images of post-mortem cases captured during 1977 - 1982. Departmental references to images uploaded with photo titles indicated the macroscopic lesion (PM) or microscopic slide (S), case number and year.
Description
RGB true colour photo. Original scanned size: JPEG, 200-300 dpi. Final web-ready size: 150 ppi. Original TIFF file housed at the Dept. Pathology, University of Pretoria.
Photo 1: Original document size: (w)8.13 x(h)6.1 cm., 161 kb, 200 ppi. Final web-ready size: 52.00 kb. Estimated download time: 19 sec. @ 28.8 kbps.
Photo 2: Original document size: (w)8.13 x(h)6.1 cm., 177 kb, 200 ppi. Final web-ready size: 57.12 kb. Estimated download time: 21 sec. @ 28.8 kbps.
Photo 3: Original document size: (w)8.13 x(h)6.1 cm., 168 kb, 200 ppi. Final web-ready size: 49.79 kb. Estimated download time: 19 sec. @ 28.8 kbps.
Light micrograph
Metadata assigned by Prof JA Lawrence, Emeritus: Dept. of Paraclinical Sciences, Section of Pathology.
Photo 1: Original document size: (w)8.13 x(h)6.1 cm., 161 kb, 200 ppi. Final web-ready size: 52.00 kb. Estimated download time: 19 sec. @ 28.8 kbps.
Photo 2: Original document size: (w)8.13 x(h)6.1 cm., 177 kb, 200 ppi. Final web-ready size: 57.12 kb. Estimated download time: 21 sec. @ 28.8 kbps.
Photo 3: Original document size: (w)8.13 x(h)6.1 cm., 168 kb, 200 ppi. Final web-ready size: 49.79 kb. Estimated download time: 19 sec. @ 28.8 kbps.
Light micrograph
Metadata assigned by Prof JA Lawrence, Emeritus: Dept. of Paraclinical Sciences, Section of Pathology.
Keywords
Dogs, Heart, Liver, Calcification, Toxoplasma gondii
