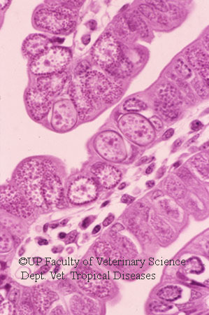
Various stages of the life cycle of an Eimeria sp. in intestinal epithelial cells
Loading...
Authors
Unknown
Journal Title
Journal ISSN
Volume Title
Publisher
Abstract
Species of the genus Eimeria are the most important causes of an important protozoal diseases known as coccidiosis which occurs in many livestock species like cattle, sheep, goats, horses, other mammals and poultry. In livestock the frank disease is characterized by enteritis and diarrhoea following invasion of mucosal cells of the gastrointestinal tract by the parasite. Subclinical infections are common. The developemntal cycle of the parasite in the host occurs intracellularly, while the final form, known as an oocyst is, in domestic animals, passed out to the external environment in the faeces. Oocysts of the genus Eimeria develop into four sporocysts at sporulation, each of them containing 2 sporozoites. If susceptible domestic animals ingest sporulated oocysts, the sporozoites are released through the action of digestive juices and then, depending on the parasite species, enter epithelial or other cells of the mucosa of the gut where they undergo asexual and sexual stages of their life cycle. (Source: Coetzer, JAW & Tustin, RC. 2004. Infectious diseases of livestock. Cape Town, South Africa : Oxford University Press.)
Description
Metadata assigned by Prof. R.C. Tustin, Professor Emeritus: DVTD. His academic and professional experience includes: veterinarian for 54 years,
senior lecturer at UP for 7 years, head of Department at UP for 17 years and Veterinary Council for 3 years.
Colour photo. Original document size: (w)4.64 x (h)7 cm. ((w) 1095 pix x (h) 1653 pix) Original scanned size: 315 kb JPEG, 600 dpi. Final web-ready size: 45.89 kb. Estimate download time: 17 sec.@28.8 kbps. Original TIFF file housed at the Dept. Veterinary Tropical Diseases, University of Pretoria.
Colour photo. Original document size: (w)4.64 x (h)7 cm. ((w) 1095 pix x (h) 1653 pix) Original scanned size: 315 kb JPEG, 600 dpi. Final web-ready size: 45.89 kb. Estimate download time: 17 sec.@28.8 kbps. Original TIFF file housed at the Dept. Veterinary Tropical Diseases, University of Pretoria.
Keywords
Life cycle, Eimeria sp., Epithelial cells
